Utrata zębów, niezależnie od przyczyny, może znacząco wpłynąć na jakość życia. Problemy z gryzieniem, mową, a także estetyka uśmiechu to tylko niektóre z konsekwencji. Na szczęście współczesna stomatologia oferuje skuteczne rozwiązania, a implanty zębowe w Warszawie stanowią jedno z najbardziej innowacyjnych i trwałych. Decydując się na ten zabieg, inwestujesz nie tylko w nowy uśmiech, ale przede wszystkim w komfort i zdrowie na długie lata. Warszawa, jako stolica Polski, gromadzi czołowych specjalistów stomatologii implantologicznej, oferując dostęp do najnowszych technologii i sprawdzonych metod leczenia.
Wybór odpowiedniej kliniki i doświadczonego lekarza to kluczowy etap procesu implantacji. Dobry specjalista przeprowadzi szczegółową diagnostykę, oceni stan Twojego zdrowia i kości szczęki, a także omówi dostępne opcje leczenia, dopasowując je do indywidualnych potrzeb. Proces przygotowawczy może obejmować dodatkowe badania, takie jak tomografia komputerowa, która pozwoli na dokładne zaplanowanie umiejscowienia implantu. Pamiętaj, że implantacja to zabieg chirurgiczny, dlatego niezwykle ważna jest profesjonalna opieka i zaufanie do wybranego zespołu medycznego.
Implanty zębowe odzyskują funkcjonalność utraconych zębów, zapobiegają zanikowi kości szczęki i poprawiają wygląd twarzy. Zapewniają stabilne podparcie dla koron protetycznych, mostów czy protez, co przekłada się na swobodę podczas jedzenia i mówienia. Dbanie o higienę jamy ustnej po zabiegu, regularne kontrole u stomatologa oraz zdrowy styl życia to czynniki, które pozwolą cieszyć się efektami leczenia przez wiele dekad. Inwestycja w implanty zębowe w Warszawie to krok w stronę pełnego odzyskania pewności siebie i komfortu.
Jakie korzyści dają implanty zębowe w Warszawie pacjentom?
Decyzja o wszczepieniu implantów zębowych w Warszawie to inwestycja w zdrowie i komfort, która przynosi szereg wymiernych korzyści. Przede wszystkim, implanty odzyskują pełną funkcjonalność utraconych zębów. Dzięki nim można swobodnie jeść twarde pokarmy, bez obaw o stabilność protezy czy dyskomfort. Poprawia się również jakość mowy, eliminując problemy z seplenieniem czy nieprzyjemnymi dźwiękami, które mogą pojawić się przy braku zębów. Estetyka uśmiechu ulega znaczącej poprawie, co pozytywnie wpływa na samopoczucie i pewność siebie pacjenta.
Kolejną niezwykle istotną zaletą implantów jest ich wpływ na kość szczęki. Utrata zębów prowadzi do stopniowego zaniku kości, co może skutkować zmianą rysów twarzy, zapadaniem się policzków i tzw. „starzeniem się” wyglądu. Implanty, poprzez stymulację kości, zapobiegają temu procesowi, utrzymując jej prawidłową strukturę i objętość. Dzięki temu twarz zachowuje swój naturalny kształt, a pacjent wygląda młodziej i zdrowiej. Warszawa oferuje dostęp do nowoczesnych technik implantologicznych, które minimalizują ryzyko powikłań i przyspieszają proces gojenia.
Implanty zębowe są również rozwiązaniem długoterminowym. Przy odpowiedniej higienie jamy ustnej i regularnych kontrolach stomatologicznych, mogą służyć przez całe życie. W przeciwieństwie do tradycyjnych mostów protetycznych, implanty nie wymagają szlifowania zdrowych zębów sąsiednich, co jest znaczącą zaletą z punktu widzenia zachowania naturalnej tkanki zębowej. Ponadto, są one biokompatybilne, co oznacza, że organizm zazwyczaj dobrze je toleruje, minimalizując ryzyko reakcji alergicznych. Kompleksowa opieka stomatologiczna w Warszawie zapewnia pacjentom dostęp do najwyższej jakości materiałów i procedur.
Jakie są etapy leczenia implantami zębowymi w Warszawie?

Kolejnym etapem jest przygotowanie do zabiegu. Może ono obejmować profesjonalne czyszczenie zębów, leczenie chorób dziąseł lub, w niektórych przypadkach, zabiegi podnoszenia dna zatoki szczękowej lub sterowaną regenerację kości, jeśli jej objętość jest niewystarczająca. Te procedury mają na celu stworzenie optymalnych warunków do przyjęcia implantu przez tkankę kostną. Lekarz szczegółowo wyjaśnia pacjentowi, jak przygotować się do zabiegu, w tym zalecenia dotyczące diety i ewentualnego odstawienia niektórych leków.
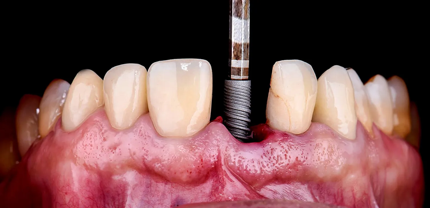
Sam zabieg wszczepienia implantu odbywa się zazwyczaj w znieczuleniu miejscowym i jest praktycznie bezbolesny. Chirurg wykonuje niewielkie nacięcie w dziąśle, a następnie przygotowuje łożysko w kości, w które wkręca tytanowy implant. Po umieszczeniu implantu, rana jest zaszywana. Okres gojenia, czyli osteointegracji, trwa zazwyczaj od kilku tygodni do kilku miesięcy. W tym czasie implant zrasta się z kością, tworząc stabilne podparcie. Po zakończeniu osteointegracji, na implancie montuje się śrubę tymczasową lub łącznik protetyczny, a następnie pobiera się wycisk do wykonania docelowej korony protetycznej. Ostatnim etapem jest osadzenie estetycznej korony na implancie, która idealnie dopasowuje się do naturalnych zębów pod względem koloru i kształtu.
Jak wybrać najlepszego specjalistę od implantów zębowych w Warszawie?
Wybór odpowiedniego specjalisty od implantów zębowych w Warszawie to decyzja, która ma kluczowe znaczenie dla powodzenia całego procesu leczenia i długoterminowego zadowolenia z efektów. Przede wszystkim warto zwrócić uwagę na doświadczenie i kwalifikacje lekarza. Poszukaj stomatologa, który posiada certyfikaty potwierdzające jego umiejętności w zakresie implantologii, ukończył specjalistyczne kursy i regularnie doskonali swoje umiejętności na szkoleniach. Warto sprawdzić, jak długo dana klinika działa na rynku i jakie ma opinie wśród pacjentów.
Kolejnym ważnym aspektem jest zakres usług oferowanych przez klinikę. Dobra placówka powinna dysponować nowoczesnym sprzętem diagnostycznym, takim jak tomograf komputerowy, który umożliwia dokładne zaplanowanie zabiegu. Ważne jest również, aby klinika oferowała kompleksową opiekę, obejmującą nie tylko sam zabieg implantacji, ale także diagnostykę, przygotowanie do leczenia, protetykę oraz opiekę pozabiegową. Zapytaj o stosowane systemy implantologiczne – renomowane marki często gwarantują wyższą jakość i dłuższą żywotność implantów.
Nie wahaj się zadawać pytań podczas pierwszej konsultacji. Dobry specjalista cierpliwie odpowie na wszystkie Twoje wątpliwości, szczegółowo omówi plan leczenia, przedstawi realistyczne oczekiwania dotyczące efektów i wyjaśni kwestie związane z kosztami. Poproś o pokazanie zdjęć „przed i po” innych pacjentów, którzy przeszli podobne zabiegi. Warto również zwrócić uwagę na atmosferę panującą w klinice – poczucie bezpieczeństwa i komfortu jest niezwykle ważne podczas tak ważnego procesu. Wiele klinik w Warszawie oferuje bezpłatne konsultacje wstępne, co stanowi doskonałą okazję do oceny specjalisty i jego podejścia do pacjenta.
Koszty i finansowanie leczenia implantami zębowymi w Warszawie
Koszty leczenia implantami zębowymi w Warszawie są zróżnicowane i zależą od wielu czynników, takich jak renoma kliniki, doświadczenie chirurga, jakość użytych materiałów (system implantologiczny, materiały do regeneracji kości), a także złożoność przypadku i ewentualne dodatkowe procedury. Zazwyczaj cena obejmuje kilka elementów: sam implant, łącznik protetyczny, a także koronę protetyczną. Należy pamiętać, że w niektórych przypadkach konieczne mogą być dodatkowe zabiegi, takie jak augmentacja kości czy podniesienie dna zatoki szczękowej, które zwiększają całkowity koszt leczenia.
Średnio, koszt jednego implantu wraz z koroną protetyczną w Warszawie może wahać się od kilku tysięcy do kilkunastu tysięcy złotych. Ważne jest, aby przed podjęciem decyzji dokładnie zapoznać się z pełnym kosztorysem leczenia, który powinien zawierać wyszczególnienie wszystkich envolvidos etapów i materiałów. Niektóre kliniki oferują pakiety leczenia, które mogą być bardziej opłacalne przy większej liczbie wszczepianych implantów.
Wiele klinik w Warszawie oferuje pacjentom różne formy finansowania leczenia, aby uczynić je bardziej dostępnym. Najczęściej spotykaną opcją jest możliwość płatności ratalnej, często we współpracy z bankami lub firmami finansującymi, które oferują kredyty ratalne na leczenie stomatologiczne. Warunki kredytowania mogą się różnić, dlatego warto porównać oferty różnych instytucji i wybrać najkorzystniejszą dla siebie. Niektóre kliniki mogą oferować własne systemy ratalne. Przed podjęciem decyzji o finansowaniu, dokładnie przeanalizuj wszystkie warunki, w tym oprocentowanie i wysokość rat. Warto również zapytać, czy istnieje możliwość częściowego zwrotu kosztów leczenia w ramach ubezpieczenia zdrowotnego lub prywatnego ubezpieczenia medycznego, choć zazwyczaj implanty nie są w pełni refundowane.
Jakie są alternatywy dla implantów zębowych dostępnych w Warszawie?
Chociaż implanty zębowe w Warszawie stanowią jedno z najnowocześniejszych i najskuteczniejszych rozwiązań w przypadku utraty zębów, istnieją również inne metody uzupełniania braków w uzębieniu, które mogą być brane pod uwagę w zależności od indywidualnych potrzeb, stanu zdrowia i preferencji pacjenta. Jedną z tradycyjnych metod są protezy ruchome, czyli protezy częściowe lub całkowite. Protezy częściowe są stosowane, gdy pacjent ma zachowane własne zęby, a proteza jest mocowana do nich za pomocą klamer lub precyzyjnych zaczepów. Protezy całkowite natomiast zastępują wszystkie zęby w łuku szczękowym lub żuchwowym i opierają się na dziąsłach.
Kolejną alternatywą, często stosowaną do uzupełnienia jednego lub kilku brakujących zębów, są mosty protetyczne. Most składa się z koron protetycznych umieszczonych na zdrowych zębach sąsiadujących z luką, które służą jako filary, oraz sztucznego zęba (lub zębów) pomiędzy nimi. Niestety, aby wykonać most, konieczne jest oszlifowanie zdrowych zębów sąsiednich, co wiąże się z nieodwracalną utratą ich tkanki. Mosty mogą być również mniej stabilne niż implanty i wymagają szczególnej higieny, aby zapobiec próchnicy zębów filarowych.
Warto również wspomnieć o protezach szkieletowych, które są bardziej stabilne niż protezy akrylowe, ale mniej estetyczne niż implanty czy mosty. Ich konstrukcja opiera się na metalowym szkielecie, który zapewnia większą sztywność i mniejszą objętość protezy. Wybór odpowiedniej metody powinien być zawsze poprzedzony konsultacją ze stomatologiem, który po dokładnej analizie stanu jamy ustnej pacjenta, jego ogólnego stanu zdrowia i oczekiwań, pomoże dobrać najlepsze rozwiązanie. W Warszawie dostępne są wszystkie te opcje, a specjalista pomoże dokonać świadomego wyboru.










