Implanty w jeden dzień w Koszalinie to rozwiązanie, które zyskuje coraz większą popularność wśród pacjentów poszukujących szybkiej i efektywnej metody odbudowy zębów. Główną zaletą tego typu zabiegu jest czas, który pacjent musi poświęcić na leczenie. W tradycyjnych metodach implantacji, proces może trwać od kilku miesięcy do nawet roku, co wiąże się z wieloma wizytami u dentysty oraz długim okresem gojenia. W przypadku implantów w jeden dzień, pacjent może wyjść z gabinetu z nowymi zębami już po jednej wizycie, co znacząco podnosi komfort życia i pozwala na natychmiastowe cieszenie się estetycznym uśmiechem. Kolejną zaletą jest minimalna inwazyjność zabiegu, dzięki czemu ryzyko powikłań jest znacznie mniejsze. Dodatkowo, nowoczesne technologie oraz materiały stosowane w implantologii pozwalają na osiągnięcie wysokiej trwałości i funkcjonalności implantów, co sprawia, że są one doskonałą alternatywą dla tradycyjnych protez.
Jak wygląda proces zakupu implantów w jeden dzień w Koszalinie
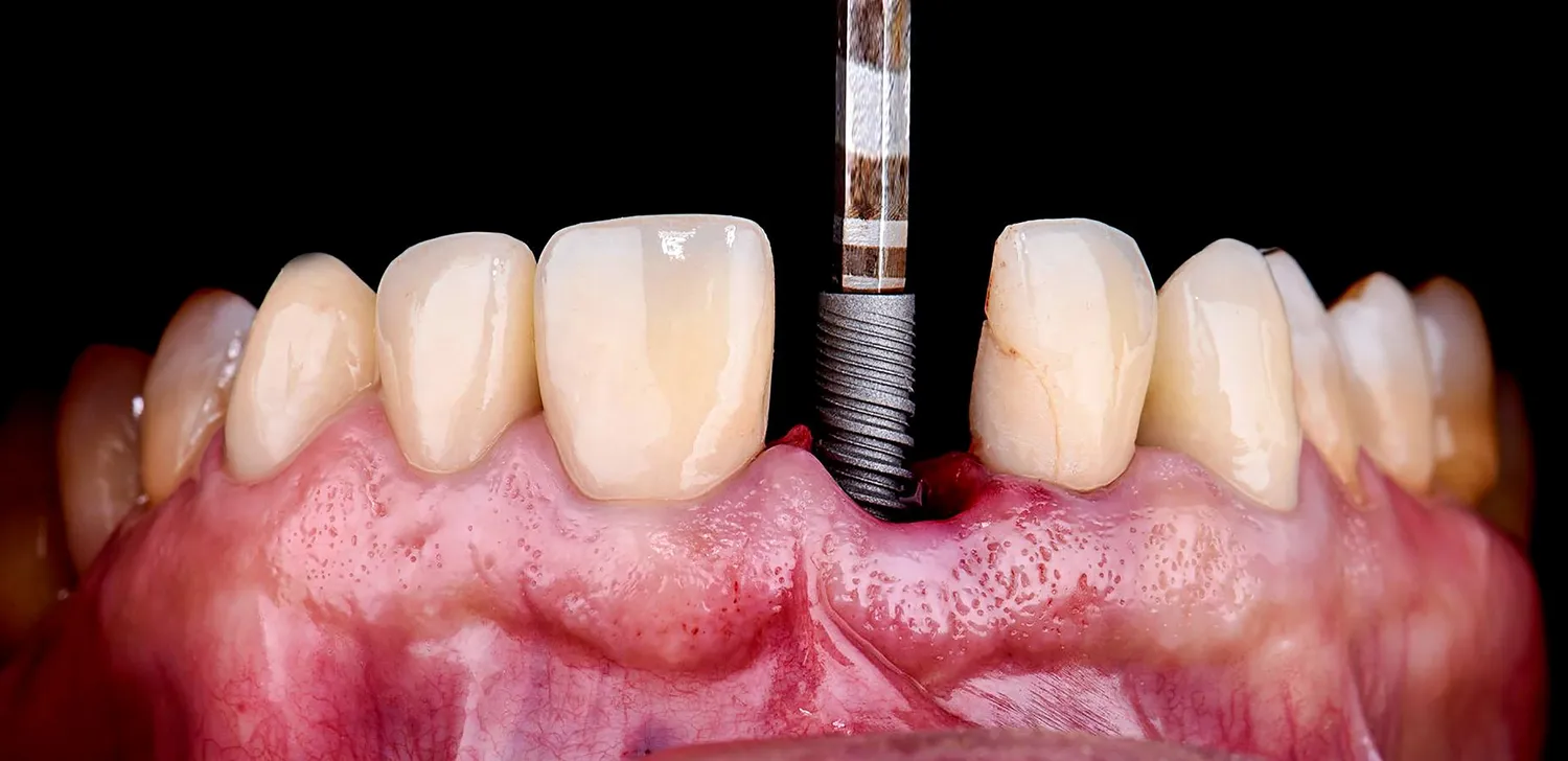
Proces zakupu implantów w jeden dzień w Koszalinie zaczyna się od konsultacji ze specjalistą, który oceni stan zdrowia pacjenta oraz przeprowadzi dokładną diagnostykę. Lekarz wykonuje zdjęcia rentgenowskie lub tomografię komputerową, aby dokładnie zaplanować zabieg. Po ustaleniu szczegółów, pacjent może przystąpić do zabiegu, który zazwyczaj odbywa się pod znieczuleniem miejscowym. W trakcie jednej wizyty lekarz wszczepia implanty oraz wykonuje koronki protetyczne, co pozwala na natychmiastowe uzyskanie estetycznego efektu. Po zakończeniu zabiegu pacjent otrzymuje szczegółowe instrukcje dotyczące pielęgnacji jamy ustnej oraz zaleceń dotyczących diety na najbliższe dni. Ważne jest również regularne kontrolowanie stanu implantów oraz przestrzeganie zaleceń lekarza, aby zapewnić ich długotrwałe funkcjonowanie.
Czy implanty w jeden dzień są bezpieczne dla pacjentów w Koszalinie

Bezpieczeństwo implantów w jeden dzień w Koszalinie jest jednym z kluczowych aspektów, które należy rozważyć przed podjęciem decyzji o zabiegu. Nowoczesne technologie oraz materiały stosowane w stomatologii znacznie zwiększyły bezpieczeństwo tego typu procedur. Lekarze korzystają z zaawansowanych technik chirurgicznych oraz precyzyjnych narzędzi, co minimalizuje ryzyko powikłań. Ponadto, każdy pacjent przed zabiegiem przechodzi dokładną ocenę stanu zdrowia oraz analizę ewentualnych przeciwwskazań do wszczepienia implantów. Ważne jest także przestrzeganie zasad higieny oraz dbanie o zdrowie jamy ustnej po zabiegu. Pacjenci powinni być świadomi potencjalnych skutków ubocznych oraz konieczności regularnych wizyt kontrolnych u stomatologa. W przypadku wystąpienia jakichkolwiek niepokojących objawów po zabiegu, należy niezwłocznie skontaktować się z lekarzem prowadzącym.
Jak długo utrzymują się efekty implantów w jeden dzień w Koszalinie
Efekty implantów w jeden dzień w Koszalinie mogą utrzymywać się przez wiele lat, a nawet całe życie, pod warunkiem odpowiedniej pielęgnacji i regularnych wizyt kontrolnych u stomatologa. Trwałość implantów zależy od wielu czynników, takich jak jakość materiału użytego do ich produkcji, technika wszczepienia oraz ogólny stan zdrowia pacjenta. Osoby palące lub cierpiące na choroby przyzębia mogą mieć większe ryzyko niepowodzenia leczenia i krótszej żywotności implantów. Dlatego tak ważne jest przestrzeganie zaleceń lekarza dotyczących higieny jamy ustnej oraz unikanie szkodliwych nawyków. Regularne kontrole pozwalają na monitorowanie stanu zdrowia implantu oraz wykrywanie ewentualnych problemów we wczesnym etapie. Warto również inwestować w wysokiej jakości materiały protetyczne oraz korzystać z usług renomowanych klinik stomatologicznych, które zapewniają gwarancję na wykonane usługi.
Jakie są najczęstsze pytania dotyczące implantów w jeden dzień w Koszalinie
Wielu pacjentów ma liczne pytania dotyczące implantów w jeden dzień w Koszalinie, co jest zrozumiałe, biorąc pod uwagę, że jest to stosunkowo nowa metoda leczenia. Jednym z najczęściej zadawanych pytań jest to, czy zabieg jest bolesny. Warto zaznaczyć, że podczas wszczepienia implantów stosuje się znieczulenie miejscowe, co minimalizuje odczucia bólowe. Po zabiegu pacjenci mogą odczuwać dyskomfort, ale zazwyczaj można go złagodzić za pomocą dostępnych leków przeciwbólowych. Kolejnym istotnym pytaniem jest czas gojenia. Choć implanty są wszczepiane w jeden dzień, pełne zintegrowanie implantu z kością może zająć kilka miesięcy. Pacjenci często pytają również o koszty związane z zabiegiem. Ceny mogą się różnić w zależności od kliniki oraz użytych materiałów, dlatego warto porównać oferty różnych gabinetów stomatologicznych. Inne pytania dotyczą możliwości wystąpienia powikłań oraz tego, jak dbać o implanty po zabiegu.
Jak przygotować się do zabiegu implantów w jeden dzień w Koszalinie
Przygotowanie do zabiegu implantów w jeden dzień w Koszalinie jest kluczowym elementem zapewniającym jego sukces. Przed przystąpieniem do procedury pacjent powinien odbyć konsultację ze specjalistą, który oceni stan zdrowia jamy ustnej oraz przeprowadzi niezbędne badania diagnostyczne. Ważne jest, aby pacjent poinformował lekarza o wszystkich przyjmowanych lekach oraz chorobach przewlekłych, ponieważ mogą one wpływać na przebieg zabiegu i proces gojenia. W dniu zabiegu zaleca się unikanie spożywania posiłków oraz napojów na kilka godzin przed wizytą, aby zminimalizować ryzyko powikłań związanych z znieczuleniem. Pacjenci powinni również zadbać o komfort psychiczny przed zabiegiem – warto rozważyć relaksacyjne techniki oddechowe lub medytację. Po zabiegu istotne jest przestrzeganie zaleceń lekarza dotyczących diety oraz higieny jamy ustnej.
Jak wybrać odpowiednią klinikę do wykonania implantów w jeden dzień w Koszalinie
Wybór odpowiedniej kliniki do wykonania implantów w jeden dzień w Koszalinie jest niezwykle istotny dla sukcesu całego procesu leczenia. Przede wszystkim warto zwrócić uwagę na doświadczenie i kwalifikacje lekarzy pracujących w danej placówce. Dobrze jest sprawdzić opinie innych pacjentów oraz rekomendacje znajomych lub rodziny, którzy mieli doświadczenie z danym stomatologiem lub kliniką. Kolejnym aspektem jest wyposażenie gabinetu – nowoczesne technologie oraz sprzęt medyczny mogą znacząco wpłynąć na jakość przeprowadzanego zabiegu oraz komfort pacjenta. Ważne są także warunki sanitarno-epidemiologiczne panujące w klinice – czystość i sterylność powinny być priorytetem każdej placówki medycznej. Należy również zwrócić uwagę na oferowane usługi dodatkowe, takie jak możliwość uzyskania wsparcia psychologicznego czy opiekę poszpitalną.
Jak dbać o zdrowie jamy ustnej po wszczepieniu implantów w Koszalinie
Dbanie o zdrowie jamy ustnej po wszczepieniu implantów w Koszalinie jest kluczowe dla ich trwałości i funkcjonalności. Po zakończeniu zabiegu pacjenci powinni ściśle przestrzegać zaleceń lekarza dotyczących higieny jamy ustnej. Regularne szczotkowanie zębów oraz nitkowanie to podstawowe czynności, które pomagają utrzymać czystość wokół implantu i zapobiegają gromadzeniu się płytki bakteryjnej. Ważne jest także stosowanie preparatów do płukania jamy ustnej zawierających antybakteryjne składniki, które wspomagają proces gojenia i zmniejszają ryzyko infekcji. Pacjenci powinni unikać twardych pokarmów oraz nadmiernego obciążania implantu przez pierwsze tygodnie po zabiegu, aby dać czas na prawidłowe zintegrowanie implantu z kością. Regularne wizyty kontrolne u stomatologa są niezbędne do monitorowania stanu zdrowia implantu oraz wykrywania ewentualnych problemów we wczesnym etapie.
Jak wygląda rehabilitacja po wszczepieniu implantów w jeden dzień w Koszalinie
Rehabilitacja po wszczepieniu implantów w jeden dzień w Koszalinie jest kluczowym etapem procesu leczenia, który ma na celu zapewnienie prawidłowego gojenia i integracji implantu z kością. Bezpośrednio po zabiegu pacjent może odczuwać dyskomfort lub ból, który można złagodzić za pomocą przepisanych leków przeciwbólowych. W ciągu pierwszych dni po wszczepieniu zaleca się unikanie intensywnego wysiłku fizycznego oraz stosowanie zimnych okładów na obszarze operowanym, co pomoże zmniejszyć obrzęk i ból. W miarę upływu czasu pacjent powinien stopniowo wracać do normalnych aktywności życiowych, jednak ważne jest, aby nie przeciążać implantu przez kilka tygodni po zabiegu. Regularne wizyty kontrolne u stomatologa pozwalają na monitorowanie postępu gojenia oraz ewentualnych komplikacji. W przypadku wystąpienia jakichkolwiek niepokojących objawów należy natychmiast skontaktować się z lekarzem prowadzącym.
Czy implanty w jeden dzień są dostępne dla każdego pacjenta w Koszalinie
Implanty w jeden dzień w Koszalinie nie są dostępne dla każdego pacjenta, ponieważ istnieje szereg czynników wpływających na kwalifikację do tego typu zabiegów. Przed przystąpieniem do procedury lekarz przeprowadza dokładną ocenę stanu zdrowia jamy ustnej oraz ogólnego stanu zdrowia pacjenta. Osoby cierpiące na choroby przyzębia, cukrzycę czy inne schorzenia przewlekłe mogą wymagać dodatkowych badań lub leczenia przed podjęciem decyzji o wszczepieniu implantów. Ponadto palenie papierosów może negatywnie wpływać na proces gojenia i zwiększać ryzyko komplikacji związanych z wszczepieniem implantu. Dlatego ważne jest, aby pacjenci byli świadomi swoich ograniczeń zdrowotnych i skonsultowali się ze specjalistą przed podjęciem decyzji o leczeniu implantologicznym.










